Displazia de sold la caine
Displazia de sold la caine
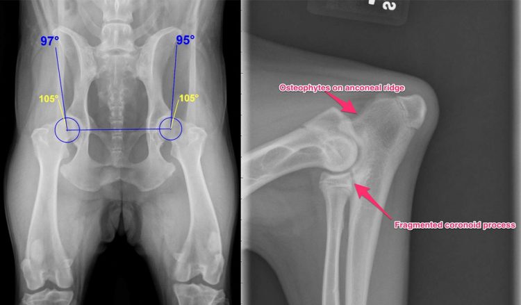
Dr. Horia Elefterescu “Utilitatea cainelui s-a facut dovedita din toate punctele de vedere, acesta fiind un bun partener de agrement al omului copil sau adult, dar s-a dovedit indispensabil ca si caine utilitar, indeplinind sarcini in politie, armata, echipe de salvare sau paza. Aceste utilitati au contribuit la perfectionarea raselor, accentuandu-se calitatile sau chiar aducandu-se…


